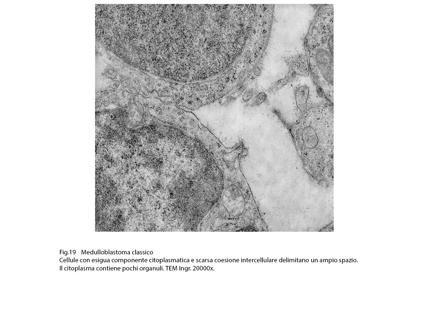
Essa, la classificazione dell’American Brain Tumor Association qui di seguito riportata, considera il medulloblastoma classico come istotipo base e gli altri quali sue varianti dovuti alla presenza di caratteri riferibili a neuroni,a glia, a cellule melanocitiche,etc..: 1. Medulloblastoma classico 2. Medulloblastoma modulare desmoplastico 3. Medulloblastoma a larghe cellule o anaplastico 4. Medulloblastoma con differenziazione neuroblastica o neuronale 5. Medulloblastoma con differenziazione gliale 6. Medullomioblastoma 7. Medulloblastoma melanotico. Attualmente,nella prassi corrente, la identificazione degli elementi così diversamente differenziati viene effettuata con rapidità e precisione mediante metodi di immunoistochimica e di biologia molecolare. In questa nota si procede in modo insolito, cercando questi aspetti mediante il metodo morfologico-descrittivo della microscopia elettronica. Questa metodica,lenta , costosa e poco pragmatica,fornisce in diretta la documentazione iconografica di reperti ultrastrutturali delle cellule e delle sub-strutture vasculo-stromali nella loro dinamica complessità e inter-relazionalità, e coglie la morfologia di stati intermedi , transazionali, evolutivi delle diverse linee maturative. CARATTERI MORFOLOGICI AL MICROSCOPIO LUCE Le osservazioni qui di seguito riportate sono a carattere esemplificativo e hanno come oggetto solo reperti di medulloblastoma classico e di medulloblastoma neuroblastico;questa scelta è conseguente alla necessità di far emergere in modo netto e dimostrativo, attraverso immagini ultrastrutturali, le molteplici differenze. Al microscopio luce, il medulloblastoma classico è composto da cellule di piccola taglia le quali hanno una esigua quota di citoplasma e, sono fornite di una voluminosa massa nucleare che appare pleomorfa e in alta attività mitotica Il citoplasma di questi elementi ha una matrice amorfa e diafana. La popolazione cellulare evidenzia un basso indice di coesione e frequentemente le cellule si deconnettono e si ritrovano isolate in spazi intercellulari di varie dimensioni. Il medulloblastoma con differenziazione neuroblastica,al microscopio luce, svela caratteri citologici più complessi spesso con livelli si differenziazione avanzata. Gli elementi aventi caratteri identificabili con un livello di certezza contengono in quantità variabili vescicole, abbozzi dendritici,coni di emergenza di assoni, sinapsi. (Clin. Neurol. Neurosurg. 2000, 102, 52-7) (Ultrastruct. Pathol. 2003, 27, 101-7) ( Acta Neuropathol.,2007,113,75-92) ., Neuropathology, 2014, 34, 1-10) CARATTERI MORFOLOGICI AL MICROSCOPIO ELETTRONICO A) MEDULLOBLASTOMA CLASSICO Al microscopio elettronico il quadro morfologico d’insieme è simile a quello già repertato al microscopio luce mediante osservazioni su sezioni semifini ricavate da inclusioni in Epon. Il reperto ultrastrutturale è dato da una popolazione cellulare iperdensa disposta in modo diffuso (in quanto priva di una intrinseca architettura) e intercalata da aree cave prive di materiale visibile agli elettroni. Pertanto la neoplasia appare costituita da aree compatte e da zone cave di varia ampiezza. Le aree a cellularità compatta sono di varia estensione e sono formate da elementi tra loro a mutuo contatto, con coesione sostenuta da rare e semplificate strutture giunzionali. Questa coesione intercellulare ha un indice molto basso e in alcuni campi si riduce quasi a zero con presenza di cellule isolate e possibile formazione di spazi intercellulari indotti da edema, da microfoci di apoptosi o da rimaneggiamenti conseguenti a spinte proliferative. Molto verosimilmente le aree cavitate,in precedenza descritte, sono espressioni di questi fenomeni di decoesione che nella maggior parte dei reperti tendono progressivamente ad ampliarsi fino ad acquisire aspetti di micro pseudo cisti .Infatti questi spazi sono privi di pareti proprie. sono irregolari, anfrattuosi e sono delimitati da gruppi di cellule neoplastiche disposte in modo discontinuo disegnando così spazi comunicanti con altri interstizi o altre cavità. Al di là di questa variegata disposizione spaziale a carattere compatta o cavitata, la popolazione cellulare ha una morfologia sostanzialmente ripetitiva; infatti gli elementi che la costituiscono sono ovunque di piccola taglia, appaiono moderatamente pleomorfi e sono forniti quasi tutti di una ridotta quota citoplasmatica contenente un nucleo di grosse dimensioni. Questo, (il nucleo) è ipercromatinico, ha un nucleolo preminente ed ha una morfologia variabile; esso può presentare una forma rotondeggiante, ovale o essere semplicemente irregolare; le sue superfici possono essere lisce oppure essere dentellate, convolute con conseguente ripiegamento del nucleo su se stesso .Quasi sempre la formazione nucleare è unica per ogni elemento cellulare,tuttavia non è infrequente la esistenza di una doppia massa nucleare (elementi binucleati). La quota citoplasmatica,sebbene sia costantemente poco rappresentata, mostra moderate variazioni di ampiezza e di contenuti ultrastrutturali a seconda dei livelli maturativi ai quali sono pervenuti i singoli elementi; una loro corretta lettura valutativa richiede l’applicazione dei seguenti criteri: 1 Livello del piano di taglio del microtomo rispetto alla zona di massima ampiezza della cellula 2 Grado di differenziazione raggiunto dalle cellule 3 Area del citoplasma a livello della quale si raccolgono in modo preferenziale gli organuli. Le cellule scarsamente differenziate o indifferenziate hanno un citoplasma espresso solo da un sottile orletto di matrice avvolgente il nucleo; in esso sono contenenuti in prevalenza ribosomi , poliribosomi, microtubuli , radi mitocondri e abbozzi di strutture ergastoplasmatiche. Queste cellule hanno superfici lisce , mostrano una bassa coesione intercellulare,e sono privi di strutture giunzionali. Esse mostrano piccole variazioni di ampiezza in rapporto al piano di taglio del microtomo, pertanto possono essere considerate quasi mono-dimensionali. Osservazioni seriali non hanno evidenziato la esistenza di aree citoplasmatiche,circoscritte, livello delle quali si raccolgono in gran numero organuli o sub strutture. Le cellule con un maggior grado di differenziazione hanno una quota di citoplasma maggiormente rappresentata e contenente, in moderata quantità, organuli, microtubuli, fasci di filamenti .Il nucleo occupa sempre la porzione centrale del corpo cellulare,è voluminoso ,ipercromatinico, vescicolososo con quote di etero cromatina alla periferia; Si rileva che queste cellule hanno una maggiore coesione intercellulare, spesso potenziata e sostenuta da strutture giunzionali. Molto frequentemente le superfici non sono lisce, ma presentano piccole estroflessioni citoplasmatiche contenenti microvescicole che si aggettano negli spazi intercellulari .Questi elementi evidenziano differenti gradi di ampiezza del citoplasma a seconda dei livelli del piano di taglio rispetto al corpo cellulare;inoltre,emerge una distribuzione irregolare degli organuli intracitoplasmatici con presenza di zone di concentrazione ottimale. La citomorfologia del medulloblastoma classico è modificata e degradata da processi regressivi fino alla citolisi; questi eventi si riscontrano con maggiore incidenza ed estensione nei casi di medulloblastoma indifferenziato. B) MEDULLOBLASTOMA CON DIFFERENZIAZIONE NEUROBLASTICA Questa variante del medulloblastoma appare, pur essa, iperdensa di elementi cellulari, che si dispongono in prevalenza in modo diffuso e con una buona coesione intercellulare;essi sono tra loro adesi sia mediante una semplice aderenza di due cellule contigue sia mediante interdigitazioni citoplasmatiche. L’applicazione dei criteri operativi sopra riportati hanno evidenziato una amplificazione della quota citoplasmatica in rapporto dal piano di taglio,la possibilità di cogliere nei dettagli i gradi di differenziazione in rapporto allo sviluppo delle sub strutture e la esistenza di aree occupate in modo preferenziale da quote elevate di tali sub strutture. Le cellule hanno un citoplasma bel sviluppato e sono fornite di nucleo voluminoso, vescicoloso, ipercromatinico,pleomorfo e spesso di forma irregolare. In modo casuale, nel contesto di queste aree disposte in modo diffuso e compatto si repertano piccoli spazi cavi apparentemente privi di contenuto; questi spazi sono delimitati da filiere di cellule tra loro strettamente coese; il citoplasma di questi elementi è sede di mitocondri, ergastoplasma, microtubuli, zolle di Nissl, neurofilamenti e vescicole. Tali formazioni , caratterizzate da un’area centrale cava e ben delimitate da cellule disposte circolarmente, ricordano le rosette di Homer-Wright. Frequentemente è dato riscontrare zone di varia ampiezza le quali sono occupate da cellule di volume maggiore rispetto alle precedenti. Queste hanno ampio citoplasma e sono fornite di nucleo sferoidale od ovoidale, eucromatinico; il loro citoplasma è fornito sia di numerosi organuli sia di quote cospicue di vescicole e di corpi vescicolari, di neurofilamenti e di microtubuli. In alcuni campi la esistenza di estroflessioni citoplasmatiche occupate da corpi vescicolari,le quali si aggettano per vari tratti negli spazi intercellulari. Anche le cellule del medulloblastoma neuroblastico presentano molto spesso processi regressivi che investono le substrutture pre esistenti modificandole, mascherandole o cancellandole. Questi processi sono rappresentati da rigonfiamento idropico progressivo fino alla lisi cellulare, da conglutinazione dei filamenti intermedi e dalla presenza di figure mieliniche. COMMENTO Questa breve rassegna iconografica di reperti di medulloblastoma al microscopio elettronico dà l’opportunità di esprimere alcune considerazioni interpretative di morfopatologia cellulare A. Medulloblastoma classico La morfologia ultrastrutturale dei reperti di medulloblastoma classico ricalca i paradigmi delle neoplasie scarsamente differenziate. L’assenza di un disegno architettonico, la bassa coesione intercellulare, le rare strutture giunzionali sono alla base dei processi di dis-aggregazione delle cellule, dei reperti di elementi isolati e della formazione di spazi anfrattuosi. Il profilo del nuclei, pleomorfo, irregolare, ipercromatinico, nucleolato rappresenta un ulteriore dato circa la ridotta differenziazione delle cellule. La ultrastruttura del citoplasma fornisce informazioni dettagliate ed analitiche circa il grado di differenziazione raggiunto dal singolo elemento. Questa scala di gradualità viene tracciata prendendo in considerazione lo sviluppo del citoplasma, la quantità degli organuli con particolare attenzione ai filamenti intermedi , ai microtubuli e alla presenza di estroflessioni citoplasmatiche. Gli elementi scarsamente differenziati sono poveri di tali substrutture le quali,come è noto, si appalesano in quantità proporzionali ai livelli di maturazione. B. Medulloblastoma con differenziazione neuroblastica Il quadro ultrastrutturale è diverso per la presenza di specifiche substrutture. Come valutazione d’assieme emerge una coesione intercellulare molto più elevata per la esistenza di strutture giunzionali e per la presenza di interdigitazioni tra estroflessioni citoplasmatiche di cellule contigue. Altro dato significativo è il riscontro di una disposizione circolare degli elementi cellulari attorno a un centro cavo quasi a riprodurre strutture simili a rosette di Homer- Wright. Di particolare interesse ai fini della identificazione di questa variante di medulloblastoma è la presenza di vescicole, di corpi vescicolari, di neurofilamenti e di microtubuli. Non mancano processi regressivi ingravescenti fino alla necrobiosi con lisi citoplasmatica; tra quelli più frequenti si segnalano i fenomeni di vacuolizzazione idropica della matrice citoplasmatica e il rimaneggiamento della componente lipidica con formazione di “figure mieliniche”.
|












































