Mammella: iperplasia usuale e iperplasia atipica
Descrizione istopatologica
Prof. Luigi Cuccurullo
Emerito di Anatomia Patologica dell'Università della Campania "Luigi Vanvitelli"
Introduzione
I processi di iperplasia degli epiteli della mammella sono manifestazioni proliferative degli epiteli presenti nelle unità dutto-lobulari e nei dutti che da queste si dipartono.
Al microscopio luce è possibile riconoscere gli stati di iperplasia e nell’ambito di questi distinguere le forme ben differenziate (iperplasie usuali) da quelle fornite di elementi epiteliali atipici (iperplasie atipiche) (Breast Cancer Res. 2003; 5(5): 254-257).
Questa distinzione non può prescindere dalla necessaria identificazione delle strutture ghiandolari interessate; e su la base di questo fattore topografico è possibile indicare le suddette iperplasie in reperti presenti a livello dei dutti (iperplasie duttali) e quelle affioranti a livello dei lobuli (iperplasie lobulari) (Histopathology 2022;80 (33): 515-528).
A livello dei dutti gli epiteli in iperplasia si dispongono in vari modi; le modalità di più frequente riscontro sono rappresentate da una stratificazione plurima e compatta, dalla formazione di micro-macro papille, da un disegno ad archi, da una elaborazione di tralci sepimentanti il lume del dutto, e da un disegno di immagini cribrose.
La gravità del processo proliferativo è valutata in rapporto alla sua intensità e su la base di questo parametro le iperplasie sono distinte in forme lievi, intermedie e floride. Le forme lievi sono caratterizzate da quote ridotte di epiteli in proliferazione; questi sono disposti a modo di sottili strati a ridosso delle pareti del dutto o del lobulo ricoprendo solo un segmento o tutta la circonferenza della struttura. In questi reperti la forma e le dimensioni dei dutti o dei lobuli interessati non subiscono variazioni rispetto alle condizioni normali.
Le forme di iperplasia moderata o florida si caratterizzano per una maggiore proliferazione degli epiteli, che si dispongono secondo le diverse configurazioni dianzi ricordate ( a strati compatti, a micro-macropapille, ad archi continui, a ponte, a disegni cribrosi, aspetti misti). In questi casi la morfologia e le dimensioni dei dutti e dei lobuli appaiono deformate ed ampliate e negli spazi intraduttali spesso si raccolgono materiale sieroso, prodotti di secrezione, concrezioni calcaree, macrofagi, linfociti, e depositi cristallini (SYEDH H. HODA in Rose’s Breast Pathology Wolters Kluber Ed. 2021).
L’esame morfologico degli epiteli in iperplasia evidenzia sia casi nei quali gli epiteli hanno conservato i loro caratteri nativi e sia casi in cui gli epiteli evidenziano gradidiversi di atipia; i primi sono denominati iperplasie usuali i secondi sono indicati come iperplasie atipiche. La architettura di questi reperti di iperplasia atipica, almeno nelle fasi iniziali, è simile a quella riscontrata nelle forme usuali, se ne discosta per la presenza degli epiteli atipici (Pathologica 2022; 54(1): 20-31).
Le morfologia della iperplasia usuale è relativamente stabile nel suo assetto citologico e strutturale; mentre le forme di iperplasia atipica evidenziano una intrinseca capacità ad aumentare di numero e a modificarsi nella forma. Infatti, le cellule atipiche aumentano di numero, possono acquisire una morfologia rotondeggiante, cuboidale, poligonale con perdita della coesione intercellulare. Questi processi hanno caratteri progressivi con un aumento del numero degli elementi atipici fino a sostituire quelli preesistenti fino alla formazione di un carcinoma situ (Human Pathology 1992; 23: 1095-1097) (Virchow’s Arch. 1999; 434: 3-10) (Breast Cancer Res. 2003; 5(5): 254 – 257) (Pathology 2022; 54 (1): 20-31).
L’esame di questo quadro isto-citologico non può prescindere dall’esame dei caratteri dei nuclei, valutandone la morfologia, il diametro, le eventuali irregolarità, la disposizione della cromatina, la visibilità del nucleolo, il numero delle mitosi e non ultimo il rapporto nucleo/citoplasma (Histopathology 2022; 80(3): 515-528).
Il profilo e il diametro dei dutti e dei lobuli, nelle varie forme di iperplasia, sono condizionati da diversi fattori quali l’indice di crescita degli epiteli, il loro modo di organizzarsi nello spazio intraduttale e intralobulare, il numero e il grado degli epiteli atipici, i fenomeni regressivi e necrobiotici, lo stato dello stroma circostante, e gli eventuali concomitanti processi flogistici (Breast Cancer Res. 2003; 5(5): 254-257).
Non sempre è possibile operare una diagnostica differenziale tra le forme di iperplasia usuale e quelle atipiche per la esistenza di casi in cui si manifestano fasi di transizioni tra le due forme. Queste fasi si appalesano attraverso numerosi aspetti morfologici quali un esiguo numero di epiteli atipici dispersi nel contesto di una popolazione di epiteli ben differenziati, oppure mediante la esistenza di aggregati di elementi atipici coesistenti con gruppi di elementi tipici, o sotto forma di una raccolta di numerosi epiteli atipici che in molte aree hanno sostituito gli elementi tipici. In tali casi è opportuno indicare tali reperti come casi borderline verso il carcinoma duttale in situ (Int. J. Surg. Pathol. 2017; 25(2): 100 – 107) (Pathology 2022; 54 (1): 20-31). (Histopathology 2022; 80(3): 515-528).
Queste riscontri depongono per la esistenza di un unico processo bio-morfologico evolutivo con inizio dalle iperplasie usuali e conclusione in quadri di carcinoma. Tali incertezze interpretative suggeriscono di rinunciare a formulare una diagnostica differenziale per le diverse forme di iperplasia e di utilizzare la dizione onnicomprensiva di “Neoplasia intraepiteliale della mammella” (Br. J. Cancer 2011; 15: 209-221) (Pathologica 2021; 135(5): 354-359).
Questo stato di cose richiede l’applicazione di una metodologia semiquantitativa utilizzando sezioni seriate al fine di elaborare un computo in percentuale degli epiteli atipici rispetto a quelli ben differenziati (Cancers, Basel 2022; 14 (3): 507).i
I parametri di questa valutazione semiquantitativa riguardano l’ampiezza dell’area interessata, il numero delle strutture duttali e lobulari coinvolti e mediante tale metodologia è stato concordato il criterio secondo il quale le proliferazioni di dimensioni inferiori a 2 mm sono considerate iperplasie, quelle superiori a tale misura sono intepretate come carcinoma in situ (Breast Cancer Res. 2003; 5(5): 254 – 257) (Am J. Surg. Oncol. 2017; 24(10): 2848 – 2854) (Breast Cancer Res. Treat. 2020; 184(3): 873 – 880). La stessa metodologia ha consentito di interpretare i reperti della iperplasia flat quali foci di inizio di processi di iperplasia atipica e successivamente di carcinoma in situ (Pathologia 2009; 30(1): 36-41) (Virchow’s Arch 2012; 46(4): 419 – 423) (Breast 2018; 37: 13-17).
Una variante di questa forma è la iperplasia lobulare atipica; essa ha origine dagli epiteli dell’unità dutto-lobulare, dai dutti terminali. Questa lesione proliferativa rimane circoscritta nel contesto degli acini e gli elementi in proliferazione nella maggior parte dei casi sono monomorfi, di piccola taglia, privi di coesione intercellulare, sono forniti di un esiguo citoplasma e sono centrati da un nucleo sferoidale. Più raramente tale popolazione è costituita da elementi di maggiore volume, è occupato da nucleo variabile per grandezza e di aspetto vescicolare. Per l’intensità del processo proliferativo gli acini subiscono un aumento del loro diametro ed appaiono tra loro quasi a mutuo contatto nel contesto di un lobulo che appare ingrandito. Nella valutazione diagnostica di questa lesione,frequentemente, riesce incerta la la sua distinzione da quella del carcinoma lobulare in situ per la similitudine della componente epiteliale. A fronte di tale difficoltà diagnostiche utilizzare la dizione di “Neoplasia lobulare in situ”; tale terminologia si rivela importante per programmare le opportune terapie (Cancer 1978; 42: 737-769)
Questo capitolo della patologia neoplastica della mammella rimane centrale nella problematica diagnostica per due motivi: Il primo è legato a indagini non limitate alla morfologia in quanto è necessario definire anche i caratteri immunoistochimici, molecolari, genetici ossia quelli espressivi di una globale valenza clonale. Il secondo motivo riguarda il dilemma di un differente comportamento clinico-terapeutico in quanto l’iperplasia atipica è una lesione a rischio (preneoplastica), mentre il carcinoma duttale in situ è una neoplasia in atto ( Breast Cancer Res. 2003; 5(5): 254-257) (Breast Cancer Res. Treat 2020; 184 (3): 873 – 880).
REPERTI: IPERPLASIA USUALE
L’iperplasia duttale usuale è caratterizzata dalla proliferazione di epiteli aventi i caratteri citologici ben differenziati uguali a quelli nativi.
Essa prende origine dalle unità dutto-lobulari e dai dutti extralobulari e il suo accrescimento proliferativo rimane circoscritto nei confini della struttura di origine senza il coinvolgimento delle cellule mioepiteliali.
In conseguenza di tale processo di iperplasia, gli epiteli, divenuti numerosi, si dispongono secondo configurazioni spaziali qui di seguito brevemente descritte:
- 1. Disposizione a strati sovrapposti
Gli epiteli si stratificano a ridosso delle cellule mioepiteliali per segmenti più o meno estesi, o per l’intera circonferenza del dutto . La coesione intercellulare è nei limiti della norma e i caratteri delle cellule sono ben differenziati. Il numero degli strati può variare da poche unità a quote numeriche elevate fino ad occluderne il lume.Nelle forme di iperplasia di grado lieve il profilo e il diametro dei dutti non evidenziano modificazioni; mentre nei casi di iperplasia moderata o florida appaiono in varia misura deformati e ectasici.
Fig.1
Fig.2
Fig.3
Fig.4 
Fig.5
Fig.6
Fig.7 
- 2. Disposizione a papille
Gli epiteli in iperplasia si dispongono a formare micro-macropapille spesso ramificate che si aggettano nel lume del dutto. Queste papille, diverse per altezza e spessore, sono costituite da epiteli differenziati, mostrano su la loro superficie filiere a monostrato di elementi cuboidali e non sono fornite di un asse vasculo-stromale di sostegno.
Fig.8 
Gli epiteli in attività proliferativa si dispongono a tracciare strie cellulari che secondo varie angolature attraversano il lume del dutto, lo sepimentano e lo suddividono in tanti sub-spazi di varia forma e dimensione (finestre). Gli spazi così disegnati possono essere occupati da linfociti, macrofagi, epiteli desquamati, materiale sieroso, concrezioni calcaree, frammenti cristallini.
Fig.9
Fig.10 
- 4. Disposizione “cribrosa”
Le strie epiteliali, dianzi segnalate, possono essere sottili e numerose, si intersecano disponendosi a disegnare un graticciato a maglie irregolari, di varia ampiezza, delimitando in tal modo spazi cavi che possono anche contenere prodotti dianzi elencati.
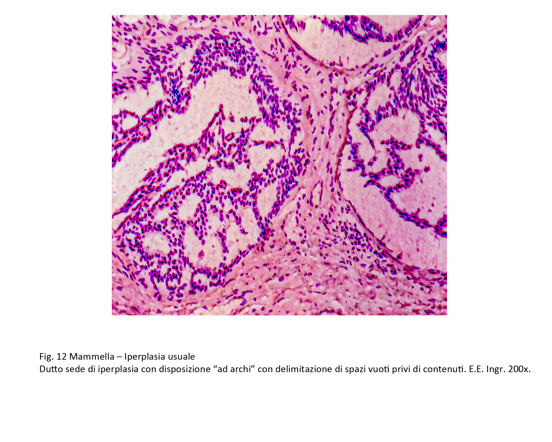
- 5. Disposizione ad archi contigui (acquedotto romano)
Gli epiteli in proliferazione si dispongono a disegnare filiere di archi contigui lungo il perimetro interno del dutto. La lunghezza di questa filiera puà essere limitata a segmenti di varia lunghezza o più raramente estendersi su la intera circonferenza del dutto .
Fig.11
Fig.12 
- 6. Disposizione a struttura mista
Gli epiteli in proliferazione si dispongono a formare abbozzi incompleti delle configurazioni dianzi elencate; in questi dutti non emerge una struttura definita, dominante, ma aggregati epiteliali che ricordano in modo approssimativo le strutture di riferimento.
Fig.13
Fig.14
Fig.15
Fig.16 
Gli epiteli in iperplasia possono acquisire caratteri di metaplasia; quelle di più frequente riscontro riguardano la metaplasia apocrina e la metaplasia squamosa.La metaplasia apocrina si riconosce per i caratteri degli epiteli; questi hanno ampio citoplasma eosinofilo, nucleo centrale ipercromatinico, sferoidale, e buona coesione intercellulare.
Fig.17 
La metaplasia squamosa è data dalla presenza di epiteli appiattiti, lamellari, forniti di ampio citoplasma eosinofilo e nucleo ipercromatinico.
Fig.18 
Frequentemente lo stroma attorno alle unità dutto-lobulari e dei dutti extralobulari è sede di flogosi cronica; questi elementi (linfociti, macrofagi, monociti) avvolgono i dutti, provocano interruzioni della membrana basale e penetrano nel contesto della struttura provocando fenomeni regressivi e necrotici.
Fig.19
Fig.20
Fig.20part 
B: IPERPLASIA ATIPICA
La iperplasia duttale atipica è un processo iperplastico-proliferativo delle unità dutto-lobulari e dei dutti extralobulari aventi nel proprio contesto epiteli atipici.
Come è stato ricordato nell’introduzione, l’architettura di questi reperti di iperplasia è simile a quella rilevata nelle forme usuali, se ne differenzia per un più alto indice di proliferazione (mitosi) e per la presenza di epiteli in transizione verso il carcinoma duttale o lobulare in situ.
Una lettura integrata di questi reperti richiede anche l’applicazione di criteri semiquantitativi per verificare l’indice delle quote di elementi atipici in modo da stabilire la gravità dei singoli casi di iperplasia atipica e differenziarli dai carcinomi in situ di lieve grado.
Mediante tale procedura sono stati identificati dutti sedi di iperplasia usuale che contengono anche un numero limitato di epiteli atipici o sede di metaplasia apocrina con caratteri di atipia. Per tale identificazione è necessario prendere in considerazione i caratteri morfologici e l’ipercromatismo dei nuclei.
Fig.21
Fig.22
Fig.23
Fig.24 
Reperti più gravi sono espressi da reperti nei quali sono presenti aggregati più o meno densi ed estesi di elementi atipici. Questa componente rappresenta un dato prognostico favorevole allo sviluppo a far tempo di un carcinoma in situ. In questo gruppo vengono inseriti anche i casi di iperplasia atipica flat delle unità dutto-lobulari.
Fig.25
Fig.25part
Fig.26
Fig.27 
Fig.27part
Fig.28
Fig.29
Fig.30 
Fig.30part 
Infine,si possono repertare dutti o lobuli occupati solo da ammassi solidi di elementi epiteliali atipici, monomorfi, privi di coesione intercellulare con scarso citoplasma e nuclei voluminosi, spesso necrobiosi. Questi casi hanno superato i criteri morfologici dell’iperplasia atipica e sono diagnosticati come carcinoma duttale o lobulare in situ.
Fig.31
Fig.31part
Fig.32 
Fig.33
Fig.34 
COMMENTO
Le iperplasie duttali e lobulari della mammella hanno caratteri bio-morfologici evolutivi e le forme di iperplasia atipica rappresentano un nodo diagnostico per differenziare tali forme dai carcinomi in situ di lieve grado. Questo nodo ha implicazioni terapeutiche in quanto alle similitudini morfologiche si contrappone la diagnosi differenziale tra una lesione a rischio (iperplasia atipica) e una lesione neoplastica (carcinoma in situ) (Breast Cancer Res. 2003;5: 320-328).
La ricerca di dati microscopici atti a differenziare in modo stabile e certo le forme di iperplasie atipiche dai carcinomi in situ di live grado ha indotto una analisi dettagliata circa la morfologia degli epiteli, la loro disposizione architettonica, i gradi della coesione intercellulare, lo stato dei mio epiteli. I processi di metaplasia, gli indici dell’apoptosi, il numero delle mitosi, l’assetto dello stroma periduttale e perilobulare, la eventuale coesistenza di focolai di flogosi all’esterno e all’interno delle suddette strutture. Queste valutazioni qualitative sono state integrate da osservazioni di tipo semi-quantitativo, prendendo in considerazione il numero dei focolai,le loro dimensioni, el’entità delle strutte coinvolte.
Agli esami morfologici si aggiungono le indagini molecolari finalizzate a svelare a livello biologico i gradi dei processi proliferativi, i fenomeni apoptosici, gli stati della coesione intercellulare.
Dalla rassegna della letteratura emerge la certezza circa una continuità patogenetica ed istogenetica dalle iperplasie usuali verso le forme di iperplasie atipiche e in continuità verso quadri di carcinoma in situ; pertanto,gli epiteli delle iperplasie usuali sono considerati progenitori delle forme successive ( J. Pathol. 2002;198: 458-467). Il riscontro di carcinomi duttali o lobulari invasivi nelle stesse aree in precedenza sedi di lesioni ipeplastiche è stato considerato una conferma di tale continuità patogenetica ( Am. J. Clin. Pathol. 2001; 115: 709-718 ) ( J. Pathol. 2002; 198: 458-467).