Gastrite reattiva
Profilo istopatologico
Prof. Luigi Cuccurullo
Emerito di Anatomia Patologica
-
Le gastriti, secondo una classificazione schematica e riassuntiva, possono essere distinte in gastriti autoimmuni, gastriti batteriche, gastriti reattive e gastriti da altre cause. (Internist, Berlin 2006; 47(6): 580-587).
Sono considerate gastriti reattive quelle indotte da fattori esotossici, endotossici o da stress (Pathologica 2020; 112(3): 153-165).
Tra questi fattori etiopatogenici sono da ricordare i farmaci e in modo particolare i NSAID, l’alcool, il reflusso biliare, i succhi alcalini provenienti dal pancreas e le diverse condizioni psico-fisiche da stress (Clin. Gastroenterol Hepatol. 2018; 16: 1389-1392).
Tra i fattori esotossici delle gastriti reattive, i farmaci NSAID sono considerati quale causa di gravi macro-erosioni, di ulcerazioni estese e di emorragie (J. Clin. Pathol. 2001; 54: 521-525) (Br. J. Pharmacology 2012; 165(1): 67-74).
Il quadro istopatologico di queste gastriti è aspecifico, e non consente di risalire ai fattori eziopatologici scatenanti. Le variazioni riscontrate nella casistica istopatologica sono da correlare alla durata della esposizione al fattore tossico, all’intensità dell’agente patogeno, allo stile di vita o ancora da una possibile sovrapposizione di eventi infiammatori indotti da agenti batterici e in particolare dall’H-pylori.
I prelievi bioptici devono essere eseguiti secondo il sistema Sydney e la valutazione istopatologica non può prescindere dalle informazioni ricavate dall’esame endoscopico e dalle notizie ottenute dalle indagini clinico-anamnestiche.
La lettura al microscopio luce prevede l’esame di tutte le componenti epiteliali, integrato da osservazioni su lo stato del sistema vasculo-stromale della lamina propria e su la possibile presenza di una flogosi consensuale. Infine questo esame deve essere integrato da una valutazione semiquantitativa delle lesioni al fine di stabilire il loro stato di gravità e la loro possibile evoluzione .
Le forme di gastrite reattiva di lieve grado si manifestano mediante uno stato di edema e di congestione a livello dello stroma situato al di sotto della linea epiteliale di rivestimento.
Se la gastrite reattiva è di grado moderato il processo è aggravato da micro-macro emorragie intramurali e da vacuolizzazione o rigonfiamento torbido degli epiteli.
Se il danno è di maggiore gravità si osservano processi di esfoliazione degli epiteli di superficie e delle foveole con il conseguente formarsi di erosioni o di ulcere superficiali mentre le ghiandole appaiono dismorfe, dilatate mostrando epiteli sedi di gravi processi regressivi o di lisi (Human Pathology 2007; 38(4): 527-536).
In questi casi si rileva, anche , la presenza nella lamina propria quote cospicue di mononucleati raccolti attorno ai capillari, interposti tra gli epiteli di superficie, e presenti nel lume delle ghiandole; inoltre, nelle fasi di attività della flogosi a queste componenti si aggiungono neutrofili atti ad indurre destrutturazione delle ghiandole e necrosi degli epiteli.
Nell’ambito di tali processi affiorano focolai di rigenerazione degli epiteli delle superfici, delle foveole e delle ghiandole tendenti alla sostituzione delle componenti epiteliali danneggiate (Yale J. Biology and Medicine 1996; 69: 51-60) (Sem. Dig. Pathol. 2005; 22: 273-283).
Nel corso di questa fase rigenerativa subentrano manifestazioni di iperplasia che si traducono in reperti di ipercellularità a livello delle suddette strutture con accentuazione a livello delle foveole che appaiono allungate, tortuose con stratificazione degli epiteli (Histopathology 1993; 23: 342-348).
Queste risposte reattive sono dovute ad un accelerato turnover delle mitosi epiteliali e alla liberazione di citochine ed altri prodotti pro-infiammatori. Questi processi rigenerativi associati a iperplasia, persistendo nel tempo, possono essere la base predisponente per processi di metaplasia e di displasia (J. Clin Pathol. 2002; 55(5): 352-354) (Digestive and Liver disease 2011; 435: 5373-5384).
-
REPERTI
I casi in esame sono stati selezionati su la base del quadro clinico.anamnestico ed endoscopico; sono stati esclusi i casi di gastrite da H.pylori,e da fattori autoimmuni o da altre cause, ma sono stati prescelti i reperti prelevati a soggetti affetti da gastrite cronica indotta da alcool o da farmaci,in particolare da farmaci NSAID.
Non è stato possibile distinguere in modo oggettivo i reperti di gastrite cronica indotti dall’alcool da quelli provocati dall’utilizzo di farmaci, pertanto è stato ritenuto più aderente ai dati microscopici procedere nella descrizione delle lesioni tenendo conto della gravità delle stesse. Per tali analisi sono state utilizzate strumentazioni microscopiche di diverso potere di risoluzione per cogliere aspetti morfologici più dettagliati.
Nelle forme di gastrite cronica reattiva di lieve grado, si riscontra un edema interstiziale circoscritto alla fascia superficiale della tonaca propria,in tale ambito la componente epiteliale e ghiandolare appare nei limiti della norma.
-
-
Fig.1  Fig.2 
Nelle forme di gastrite cronica reattiva di grado moderato, si evidenziano molteplici alterazioni consistenti in un edema diffuso quasi a tutto spessore della lamina propria,in una congestione complicata da focolai emorragici, e in riscontri di rigonfiamento torbido degli epiteli delle ghiandole.
-
-
-
Fig.6  Fig.7 
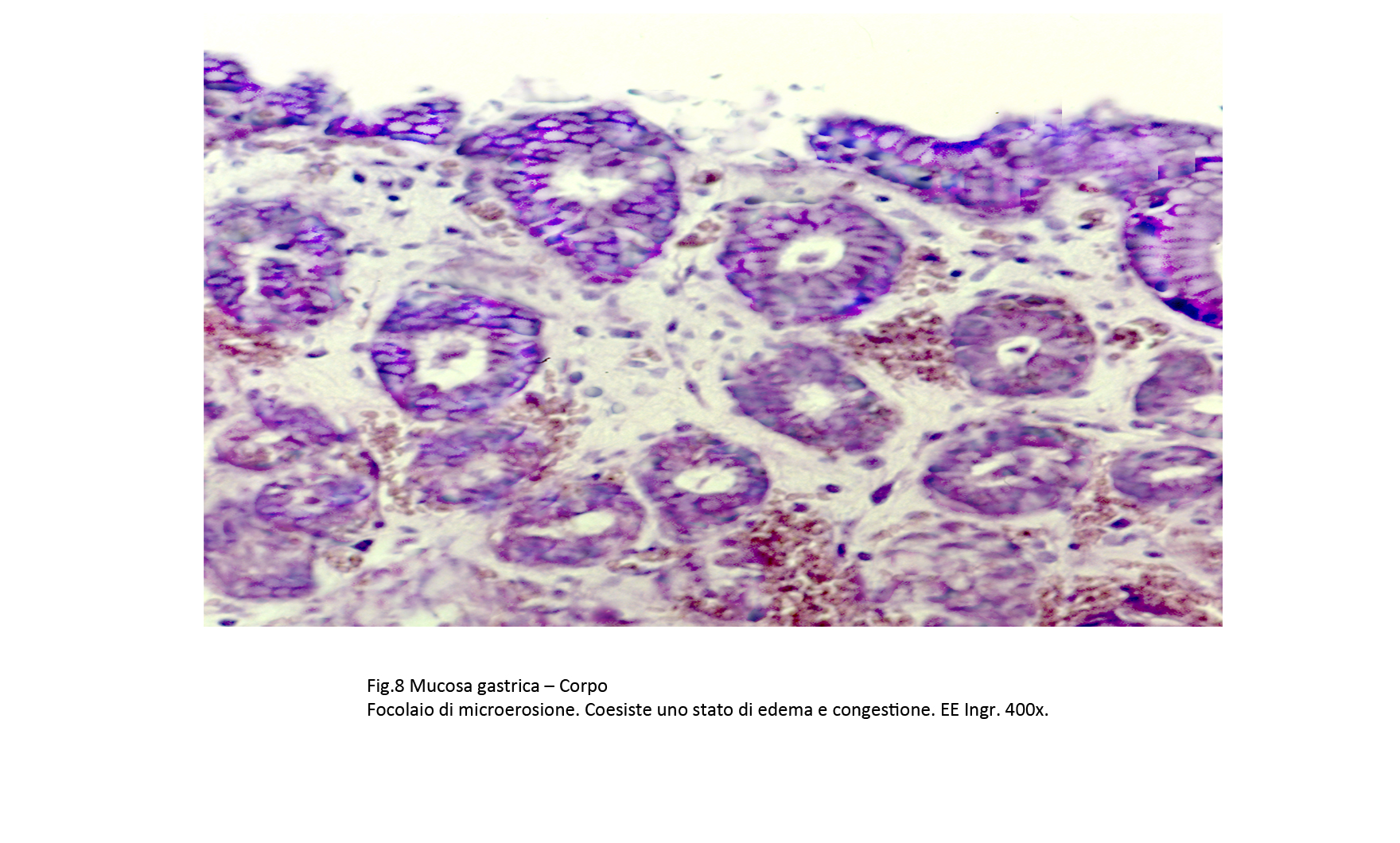
Nelle forme di gastrite cronica reattiva di elevata gravità, si instaurano,in aggiunta alle lesioni dianzi riportate, foci di scollamento della linea epiteliale di superficie, foci di erosioni e di ulcerazioni superficiali, perdita della compattezza della mucosa, e riduzione del patrimonio ghiandolare.
-
-
-
Fig.11  Fig.12 
-
Fig.13  Fig.14 
Mediante sezioni semifini è possibile documentare nei dettagli le fini alterazioni degli epiteli ghiandolari; queste sono costituite da processi di vacuolizzazione, di rigonfiamento torbido e di lisi citoplasmatica.
-
-
Fig.15  Fig.16 
Al microscopio elettronico a trasmissione, si evidenziano a livello degli epiteli considerati indenni al microscopio luce le seguenti alterazioni citoplasmatiche: Riduzione della quota di ergastoplasma, abnorme dilatazione delle cisterne del reticolo endoplasmico, rigonfiamento con cristolisi dei mitocondri, focolai di microautofagia, edema della matrice citoplasmatica con depauperamento degli organelli, alterazioni o distruzione delle giunzioni interepiteliali.
-
-
-
-
-
-
-
Nel contesto di tali aree sedi di flogosi e lisi epiteliale si manifestano foci di rigenerazione degli epiteli con neoformazione di nuove strutture ghiandolari; in molti casi, perdurando il processo flogistico, si determinano fenomeni di iperplasia a livello delle foveole e delle ghiandole con il rischio di transizioni verso quadri di metaplasia e di displasia secondo Correa.
COMMENTO
Le gastriti reattive sono indotte da numerosi fattori causali e si manifestano secondo un unico quadro istopatologico, non consentendo di individuare un nesso di specificità tra reperto istopatologico e agente scatenante.
Le difficoltà nelle valutazioni etiopatogenetiche delle gastriti reattive non riguardano soltanto la diversità dei fattori esotossici o endotossici di volta in volta presi in esame, ma si estendono ad altre condizioni valutabili con difficoltà, quali lo stile di vita, le abitudini alimentari, le situazioni prolungate di stress, e non ultimo il rischio nel corso della malattia di una subentrante, improvvisa, colonizzazione di batteri e in particolare degli H-pilory. Pertanto questi stati di fatto impongono di interpretare i reperti istopatologici nel quadro d’insieme dei dati endoscopici e clinico-anamnestici.
E’ verosimile ritenere che l’inizio di questo tipo di gastrite cronica sia dovuto ad alterazioni dei capillari della quota superficiale della mucosa gastrica con successivo passaggio a manifestazioni edematoso-congestizio-emorragiche fautrici dello scollamento della linea epiteliale e fenomeni regressivi degli epiteli ghiandolari. Subito dopo, l’entità della noxa incrociata con la durata dell’esposizione favorisce il passaggio da uno stato di erosione a quello di ulcerazione associata a perdita del patrimonio ghiandolare e massiva infiltrazione flogistica
I reperti ottenuti mediante la microscopia elettronica svelano la presenza di alterazioni regressive estese ad aree e strutture apparentemente integre al microscopio luce. Il loro danno riguarda soprattutto i mitocondri e l’apparato reticolo endoplasmico, ossia il sistema respiratorio e quello metabolico delle cellule.
|