EPENDIMOMA
Luigi Cuccurullo
|
Gli ependimomi sono neoplasie costituite da cellule ependimali; essi originano da questi elementi che rivestono i ventricoli dell’encefalo e il canale midollare spinale.
L’ependimoma è un tumore benigno, a lenta crescita, di forma nodulare,si manifesta a livello delle pareti di uno dei ventricoli cerebrali o a livello del midollo spinale a sede intramidollare.
Esso, se ha sede a livello cerebrale, si presenta come una formazione nodulare, ben circoscritta, con netto piano di clivaggio, di consistenza molle a struttura compatta o microcistica e di colore grigio-roseo; la sua ridotta consistenza favorisce un adattamento e una modulazione morfologica in rapporto agli spazi nei quali si accresce e alle compressioni esercitate dalle strutture circostanti. Nel corso del suo sviluppo, la neoplasia non solo si protende negli spazi dei ventricoli ma si accresce con modalità espansiva anche nel contesto della sostanza bianca para-ependimale.
Questi caratteri, così standardizzati, possono subire variazioni parcellari o globali per il sovrapporsi di fenomeni regressivi o necrotico-emorragici. In tali evenienze,l’ependimoma , all’esame macroscopico mediante tagli seriati, mostra, su le superfici di sezione, escavazioni contenenti coaguli o materiale necrotico commisto a focolai flogistici.
Questi processi regressivi secondari, se sono estesi, subentranti e pervasivi possono sovvertire sia i caratteri macroscopici, sia la struttura microscopica del tumore.
Gli ependimomi cerebrali hanno le
loro sedi di maggiore riscontro a livello del 4° ventricolo e dei ventricoli laterali e con minor frequenza a carico del 3° ventricolo e del setto pellucido.
Nel loro accrescersi possono riempire lo spazio del 4° ventricolo e attraverso i fori di Luska e Magendie, sporgersi e svilupparsi negli spazi sub-aracnoidei interessando la cisterna magna, l’angolo ponto-cerebellare, il tronco cerebrale.
L’ependimoma può avere sede a livello del midollo spinale, in tali casi acquisisce una forma fusata, è intramidollare e si proietta spesso tra i cordoni posteriori. Frequentemente si associa a processi di siringomielia o di neurofibromatosi. Anche in questa sede la neoformazione appare ben circoscritta, clivabile, di colore grigio roseo, e di consistenza molliccia; frequentemente i processi regressivi secondari possono modificare, anche profondamente, il reperto morfologico di base. L’ependimoma può localizzarsi anche a livello del filum terminale, del cono midollare, della cauda equina; in questi casi esso è adeso alle strutture nervose circostanti, ha una forma ovoidale, è delimitato da una pseudocapsula, è di consistenza molle e di colore grigio biancastro; al taglio, le superfici di sezione sono microcistiche e ricolme di materiale denso vischioso di aspetto mucinoso.La sede, i caratteri macroscopici ,la presenza di materiale mucinoso forniscono un quadro morfologico diversificato e pertanto viene classificato a parte e viene indicato con il termine di ependimoma mixopapillare. Questo istotipo,che viene considerato elettivo di questa zona, anche se raramente, è stato riscontrato anche a livello dei segmenti cervicale e toracico del midollo spinale.
L’ependimoma è un tumore pleiomorfo, e al microscopio luce si differenzia in diversi istotipi.
Le forme microscopiche più frequenti sono così denominate: (W.H.O.)
Ependimoma cellulare
Ependimoma papillare
Ependimoma a cellule chiare
Ependimoma a cellule tanicitiche
Ependimoma anaplastico
Questi istotipi,sebbene siano differenti per alcuni caratteri di specificità, evidenziano alcuni caratteri comuni che servono a identificarli;questi aspetti di base sono costituiti, sostanzialmente, da una popolazione cellulare ben differenziata, di media densità, coesa e ben organizzata; le cellule sono di media taglia, hanno abitualmente forma rotondeggiante o poligonale, mostrano un citoplasma eosinofilo e sono centrate da un nucleo rotondeggiante ,normocromatinico.
A queste neoplasie aventi caratteri di benignità anatomo-clinica è necessario aggiunger la esistenza dell’ependimoma anaplastico, particolarmente aggressivo, infiltrante ed a rapida crescita.
Questa classificazione di forme di frequente riscontro si arricchisce di varianti molto rare quali l’ependimoma lipomatoso, l’ependimoma a cellule giganti, l’ependimoma a cellule vacuolate, l’ependimoma melanotico, l’ependimoma a cellule con castone d’anello , l’ependimoma ovariano, l’ependimoma con ganglioglioma (W.H.O.).
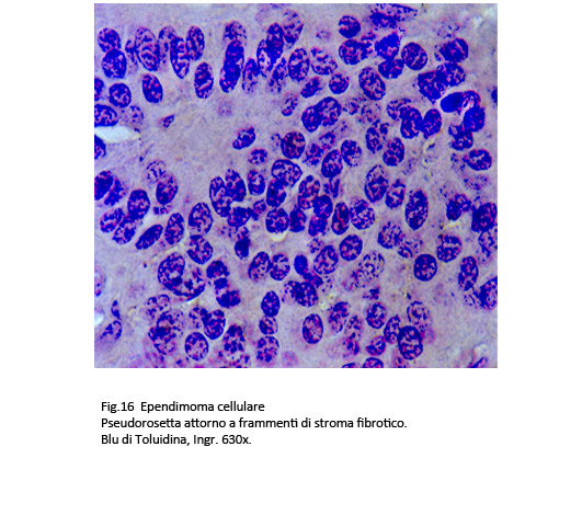
Ependimoma cellulare
L’Ependimoma cellulare è costituito da aggregati di media densità di cellule che si dispongono a formare cordoni, travate, filiere o insule compatte con possibilità, altamente frequenti ,di commistioni architettoniche nei vari campi microscopici.
fig.1 
Le cellule sono isometriche, hanno forma irregolarmente poligonale od ovoidale, sono fornite di una discreta quota citoplasmatica, eosinofila e sono occupate da un nucleo vescicoloso, rotondeggiante, normocromatinico. Un aspetto microscopico che viene considerato caratterizzante ai fini della diagnosi, è rappresentato dalla presenza di rosette e/o di pseudo-rosette.
Le prime si riconoscono per una disposizione circolare delle cellule attorno a un centro cavo; le seconde si riconoscono per una disposizione circolare delle cellule attorno a un piccolo vaso o capillare o attorno a un sottile frammento di stroma fibrillare.
fig.2
fig.3 
La popolazione cellulare di questa neoplasia pur nella sua variabilità architettonia e spaziale non manifesta atipie nucleari, ma solo rari -processi mitotici.
La quota stromale è, nell’insieme, molto scarsa, con possibilità di variazioni da zona a zona; essa è rappresentata da sottili tralci fibrillari, i quali sono distribuiti in modo apparentemente irregolare con tendenza a una presenza più accentuata in sede perivascolare; non si evidenzia la esistenza di un delicato graticciato fibrillare reticolare precollagene finalizzato ad incestellare la popolazione cellulare neoplastica.
fig.4
fig.5
fig.6 
A un esame analitico di questi tumori è possibile svelare la esistenza di microaree particolari per la loro elevata densità cellulare e per la presenza di cellule in mitosi; molto verosimilmente esse corrispondono ai poli di accrescimento della neoplasia.
I vasi sono numerosi e tra questi sono ben sviluppati i capillari; le pareti dei vasi frequentemente sono ispessite per processi di ialinosi, oppure sono tappezzate da endoteli iperplastici o ancora sono occlusi da microtrombi fibrinosi.
fig.7
fig.8
fig.9 
fig.10
fig.11
fig.12 
fig.13
fig.14 
Sono frequenti i processi regressivi focali o zonali unici o multipli con tendenza ad allargarsi fino a produrre focolai destruenti sub-totali complicati spesso da stravasi emorragici .Questi processi regressivi sono di diversa natura e gravità e nel loro estrinsecarsi possono interessare prevalentemente le strutture e gli spazi interstiziali oppure la componente cellulare,invece nelle forme complesse possono essere coinvolte tutte le strutture del tumore. I processi regressivi a
livello degli spazi interstiziali sono rappresentati da aree di edema o da focolai emorragici con rarefazione della densità della popolazione cellulare;frequentemente si riscontra la presenza di materiale ialino che si addensa attorno ai vasi, agli stromi o si interdigita tra le cellule; a questo materiale si possono associare microfoci di idrossi-apatite o addirittura abbozzi di tessuti ossei, di tessuti condroidi e condro-mixoidi.
fig.15
fig.16
fig.17 
fig.18
fig.19
fig.20 
L’integrità della tessitura neoplastica può essere compromessa per la esistenza di piccole escavazioni, prive di pareti proprie e contenenti piccole quote di materiale sieroso oppure prive di contenuto visibile al microscopio luce.
fig.21 
Anche i processi regressivi che sono circoscritti nell’ambito delle cellule si manifestano in vario modo e con diversi livelli di gravità; essi si riconoscono in semplici processi di vacuolizzazione del citoplasma o in fenomeni di rigonfiamento cellulare oppure pervengono a gravi manifestazioni di necrobiosi fino alla lisi cellulare .Spesso questi processi necrobiotici si associano a complicanze di tipo flogistico cronico sostenute da linfociti e monociti.
Ependimoma papillare
L’epandimoma papillare è riconoscibile per la presenza di strutture papillari e pseudo papillari; queste formazioni possono occupare l’intera massa neoplastica o occupare solo una parte della neoplasia.
Le papille vere sono digitiformi hanno varia altezza, spesso sono tra loro quasi a mutuo contatto ed essendo numerose riempiono lo spazio nel quale protrudono.Ciascuna di esse è formata da un asse vasculo-stromale il quale è rivestito da una filiera di cellule cuboidali, isomorfe,e isometriche; questi elementi sono forniti di un citoplasma eosinofilo e di un nucleo sferoidale normocromatinico il quale frequentemente appare vacuolizzato. Accanto alle papille vere possono repertarsi le pseudo papille; queste si riconoscono per la loro micro-architettura, la quale è data da semplici aggregati pluristratificati di cellule oppure da un frammento di stroma fibroso il quale è ricoperto in modo disordinato e casuale da strati cellulari.
fig.22
fig.23 
fig.24
fig. 25 
fig.26
fig.27 
Le aree neoplastiche prive di strutture papillari e/o pseudopapillari sono occupate da cellule disposte a formare cordoni, travate o insule compatte.
L’ependimoma papillare è esposto con pari frequenza ai processi regressivi, ai disturbi di circulo, ai fenomeni necrotici riscontrabili a livello dell’ependimoma cellulare.
Ependimoma a cellule chiare
L’ependimoma a cellule chiare è caratterizzato dalla esistenza di elementi aventi citoplasma trasparente, diafano. Queste cellule sono di media taglia, sono riunite in filiere e/o fascicoli compatti e frequentemente si dispongono in modo circolare attorno ai vasi, formando così immagini a pseudo-rosette; tutta la popolazione cellulare è costituita da elementi di forma ovoidale o rotondeggiante, hanno un discreto alone citoplasmatico ed sono forniti di nuclei vescicolosi.
Il carattere peculiare di questi elementi è dato dalla esistenza di un alone iperchiaro che avvolge il nucleo;questo alone progressivamente si amplia fino ad interessare l’intero citoplasma rendendolo trasparente e di forma globoide.
fig.28
fig.29 
fig.30
fig.31 
fig.32
fig.33 
Questa modifica del citoplasma, accentrandosi, può provocare la rottura della membrana cellulare e sversamento del contenuto negli spazi intercellulari.
Ependimoma a cellule tanicitiche
L’ependimoma a cellule tanicitiche è caratterizzato da una popolazione cellulare monomorfa di forma fusata, dal profilo bi-polare; questi elementi sono aggregati in modo compatto, sono tra loro a mutuo contatto e rivelano una disposizione spaziale a fascicoli di vario spessore. Le singole cellule hanno un esiguo orletto citoplasmatico eosinofilo e sono occupate da un nucleo oblungo orientato secondo l’asse maggiore della cellula (Figg.32,33). Gli elementi che compongono questo istotipo di ependimoma rassomigliano ai taniciti, cioè alle cellule paraventricolari che hanno da un lato prolungamenti citoplasmatici che affiorano alla superficie dell’ependima
e dall’altra hanno sviluppato prolungamenti che si infiggono nella glia sub-ependimale.
Ependimoma anaplastico
L’ependimoma anaplastico è un tumore a margini mal definiti, incerti poiché infiltra le strutture circostanti; esso è molliccio, friabile, ha un colore grigio e può essere punteggiato da aree rosso-cupo per emorragie o da escavazioni per necrosi.
Al microscopio luce esso è costituito da una popolazione cellulare iperdensa, pleiomorfa e disposta spazialmente in modo caotico, disordinato; le singole cellule variano per grandezza, per forma, per quote variabili di citoplasma e per volumetria del nucleo. Nell’ambito della popolazione cellulare, (commiste ad elementi di piccole dimensioni)si possono ritrovare cellule giganti, spesso bi-nucleate. A questo stato di ipercellularità si associa una condizione di marcata neo-vascolizzazione con vasi di vario calibro e distribuiti in modo disordinato.
Sono molto frequenti i processi regressivi e tra questi soprattutto quelli necrotici ed emorragici; di conseguenza si formano nel contesto della neoplasia escavazioni ricolme di detriti cellulari e di eritrociti.
In molti casi, il basso grado di differenziazione delle cellule impone, per addivenire a una diagnosi di certezza, indagini di immunoistochimica e di microscopia elettronica.
Profilo immunoistochimico degli ependimomi
Le cellule degli ependimomi evidenziano una diffusa immunoespressività citoplasmatica per la GFAP con una maggiore intensità a livello dei prolungamenti cellulari. I livelli di questa immunoespressività sono correlati al grado di differenziazione della popolazione cellulare; infatti negli ependimomi anaplastici essi sono molto ridotti e sono soltanto focali.
fig.34
fig.35 
fig.36
fig.37 
fig.38
fig.39 
Oltre questo reperto, gli ependimomi esprimono positività plurifocali anche per la proteina S-100, per la Vimentina,
fig.40
per l’EMA e in modo variabile per le Cheratine.
L’indice della attività proliferativa della popolazione cellulare è determinato mediante la valutazione della immunoespressività del MIB-1; negli ependimomi benigni il valore ottenuto del MIB-1 non supera la soglia del 4%, invece raggiunge livelli molto alti negli ependimomi anaplastici.
Caratteri ultrastrutturali degli ependimomi
Un esame ultrastrutturale analitico, semiseriato, degli ependimomi mette in evidenza caratteri citologici specifici, mediante i quali è possibile stabilire le loro istogenesi.
Questi caratteri peculiari sono dati dalla esistenza di microstrutture, quali ciglia, microvilli e blefaroblasti, che si distribuiscono su la superficie delle cellule che sporgono in uno spazio libero.
fig.41
fig.42 
Altre cellule, soprattutto se sono disposte in gruppi compatti e coesi non sono sedi delle suddette sub-strutture, ma evidenziano una salda adesione intercellulare mediante strutture giunzionali complesse (zonale aderens, zonale occludens, gap-giunzionali).
fig.43
fig.44 
fig.45
fig.46 
Il citoplasma delle cellule è ricco di organuli e in particolar modo di ergastoplasma, di ribosomi e di filamenti intermedi; i mitocondri sono poco numerosi e frequentemente si presentano rigonfi con frammentazione delle creste;
fig.47
fig.48 
fig.49
fig. 50 
i nuclei sono rotondeggianti e appaiono vacuolizzati con materiale cromatinico addensato alla periferia o sono forniti di piccoli blocchi di cromatina iperdensa.
fig.51 
Si repertano, anche se raramente cellule contenenti nel nucleo un corpo incluso, di forma rotondeggiante, il quale appare compatto privo di una struttura interna ed elettro-opaco.
fig.52 
Ependimoma mixopapillare
L’ependimoma mixopapillare è un tumore benigno, a crescita di tipo espansivo localizzato a livello del cono midollare, della cauda equina, del filum terminale; esso può affiorare anche a livello della regione sacro- coccigea con eventuali localizzazioni in sede pre-sacrale o post-sacrale (W.H.O., 2007).
Sono stati descritti rari casi di ependimoma mixopapillare anche a livello del midollo spinale cervico-toracico, del 4° ventricolo, dei ventricoli laterali e nel contesto del parenchima cerebrale; sono stati anche riportati in letteratura casi nei quali la lesione si manifesta sotto forma di focolai multipli.
All’esame mascroscopico l’ependimoma mixopapillare appare come una formazione ovoidale o rotondeggiante adesa alle strutture nervose circostanti; essa è racchiusa da una sottile pseudocapsula, ha una consistenza molle e un alone bianco – grigiastro; al taglio, le superfici di sezione sono occupate in buona parte da materiale vischioso, mucoide, diffluente.
Al microscopio luce si evidenzia una microarchitettura variabile da zona a zona nell’ambito dello stesso reperto; si riscontra la presenza di papille, di pseudopapille e di aree neoplastiche compatte con una disposizione di tipo fascicolato. Questa popolazione cellulare, in molte aree appare immersa in cumuli di materiale mucinoso. Questo materiale è composto da mucine neutre e mucine acide, si raccoglie negli spazi intercellulari, attorno ai vasi e si accumula, addensandosi in piccole escavazioni neoformate.
Le cellule hanno il citoplasma acidofilo e frequentemente sono vacuolizzate o hanno acquisito un aspetto ballonato per accumulo intracitoplasmatico di materiale mucinoso. La componente vascolare è ben sviluppata ed è formata da vasi di piccolo calibro e da capillari; le loro pareti sono frequentemente ispessite per ialinosi e/o per depositi di mucine.
fig.53
fig.54 
Il profilo immunofenotipico di questo tumore è espresso dalla positività per il GEAP, il CD-56, l’N.S.E. e dalla focale positività per il CKAE1/AE3, CK/18.
Sub-ependimoma
Il sub-ependimoma è un tumore di piccole dimensioni, benigno, a lenta crescita, il quale è indovato nella parete dell’ependima e sporge in cavità. Esso appare ben circoscritto, è enucleabile e può repertarsi a livello del 4° ventricolo e a livello dei ventricoli laterali, meno frequentemente può localizzarsi a livello del 3° ventricolo, del setto pellucido e del midollo spinale.
Abitualmente,all’esame macroscopico, ha una struttura compatta ma può essere sede di microcavità cistiche;nell’insieme ha un colore grigio-biancastro,e una consistenza parenchimatosa.
Al microscopio luce esso appare costituito da cellule fusate, isomorfe, isometriche le quali sono circondate da fibrille, verosimilmente di natura gliale. Le cellule hanno scarso citoplasma eosinofilo e nucleo allungato normocromatinico.La popolazione cellulare è sede di rare mitosi con assenza di nuclei atipici.
Sono frequenti i processi regressivi; questi sono rappresentati da fenomeni di vacuolizzazione delle cellule ,da citolisi, da escavazioni postnecrotiche, da focolai emorragici.