EMANGIOBLASTOMA
Luigi Cuccurullo
|
L’emangioblastoma è un tumore altamente vascolarizzato, a lenta
crescita, localizzato in qualsiasi parte del sistema nervoso, e più
frequentemente a livello del cervelletto, del midollo allungato e del midollo
spinale.
Esso può manifestarsi in forma sporadica o associato alla sindrome di v. Hippel-Lindau (W.H.O., 2007).
All’esame macroscopico questo tumore appare come una neoformazione ben circoscritta, priva di capsula, di colore rosso-bruno, di consistenza molle; al taglio, le superfici di sezione lasciano fuoriuscire sangue fluido e siero; spesso sul colore rosso di fondo si notano microaree giallastre conseguenti a depositi di lipidi.
L’esame analitico mediante tagli seriati mette in evidenza, in molti casi, la presenza di cisti di dimensioni variabili fino ad interessare l’intera neoplasia.
REPERTO ISTOPATOLOGICO
Al microscopio luce esso risulta essere costituito da vasi e da cellule stromali. Queste due componenti sono presenti in quantità variabili da caso a caso con possibile dominanza di una delle due; su la base di questi reperti sono state distinte tre varianti di emangioblastoma indicate come forma vascolare, forma cellulare e forma mista.
fig.1
fig.2 
I vasi sono rappresentati da capillari e da strutture vascolari di piccolo
calibro; la loro distribuzione è irregolare e in alcuni campi microscopici si
aggregano disegnando immagini simil-angiomatosiche e il loro calibro è molto
diversificato per la presenza di aspetti sinusoidali o cavernosi.
fig.3
fig.4 
Le pareti dei capillari e dei vasi di piccolo calibro sono rivestite da endoteli, spesso fenestrati e discontinui e sono fornite di una membrana basale frequentemente ispessita per processi di ialinosi. Le loro superfici esterne sono avvolte da periciti frequentemente pseudo-stratificati. Le pareti di tali vasi, così semplificate sono fragili e di conseguenza sono frequenti processi trasudatizi e/o stravasi emorragici.
Le cellule stromali sono di media taglia, sono di forma poliedrica o fusate e sono fornite di un ampio citoplasma rarefatto o vacuolizzato e di un nucleo sferoidale normocromatinico o ipercromatinico. Non è infrequente il riscontro di un pleomorfismo nucleare o di cellule con caratteri sincinziali;in ogni caso a questi aspetti non si aggiungono eventuali cellule atipiche o in mitosi.
Questi elementi e in modo meno incisivo i periciti e gli endoteli, sono occupati in modo parziale o totale da gocce di lipidi.
fig.5
fig.6 
fig.7
fig.8 
L'’insieme di questa struttura vasculo-stromale è sostenuta da una impalcatura
di sottili tralci di fibre collagene e da una delicata rete di fibrille
reticolari pericellulari. Molto spesso si manifestano fenomeni regressivi
secondari; questi sono rappresentati da edema, emorragie, ialinosi dei vasi,
vacuolizzazioni, rigonfiamento idropico delle cellule e necrobiosi.
Questi processi, subentranti nel tempo e a distribuzione plurifocale, favoriscono escavazioni e la formazione di cavità prive di pareti proprie (pseudo cisti contenenti materiale sieroso e delimitate da strutture vasculo-cellulari dissociate dall’edema.
PROFILO IMMUNOISTOCHIMICO
L’applicazione di indagini di immunoistochimica sono utili in quanto contribuiscono a una corretta identificazione della neoplasia e servono a porre una diagnosi differenziale con una metastasi di carcinoma renale a cellule chiare o un focolaio di paraganglioma della cauda equina. Il profilo immunoistochimico dei vasi si estrinseca in modo univoco ed omogeneo, al contrario quello delle cellule stromali è eterogeneo ponendo interrogativi di incertezza circa la loro natura istogenetica.
Dall’esame della letteratura si evince che queste cellule, con variabilità da caso a caso, sono positive per la Vimentina, per l’S-100, per la N.S.E., per la cromogranina, per la sinaptofisina, per il CD 56, per la GFAP. Nel contesto di questa neoplasia si possono repertare cellule riconoscibili come astrociti e immunoespresse per la GFAP; si ritiene che questi reperti occasionali siano una conseguenza di un intrappolamento spurio di cellule gliali normali.
REPERTO ULTRASTRUTTURALE
Al microscopio elettronico si rileva che gli endoteli, poggianti su una membrana basale lievemente ispessita e zonalmente slaminata, sono rigonfi e hanno un citoplasma diafano oppure occupato da gocce lipidiche. Questi stessi caratteri citologici si riscontrano a livello dei periciti che numerosi avvolgono i vasi.
Le cellule stromali sono fornite di un citoplasma povero di organuli e ricco di filamenti intermedi; sul piano morfologico-descrittivo esse in maggioranza mostrano un citoplasma chiaro, diafano, diffusamente vacuolizzato e in minoranza sono caratterizzate da un citoplasma compatto.
fig.9
fig.10 
fig.11
fig.12
fig.13
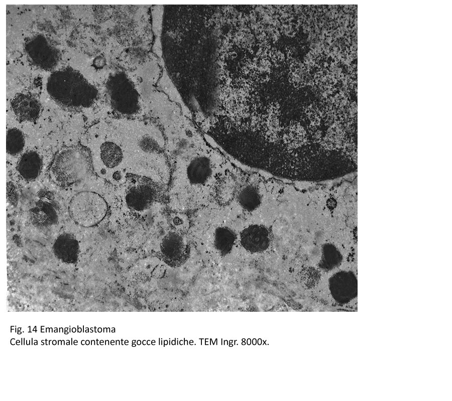
Gocce di lipidi si raccolgono anche nelle cellule stromali; esse si depositano nella matrice citoplasmatica e crescendo di numero provocano fenomeni di citolisi.
fig.14
fig.15
fig.16
I processi regressivi si caratterizzano mediante il riscontro di nuclei nudi, di frammentazioni delle membrane citoplasmatiche per il totale svuotamento dei contenuti cellulari,e per la presenza di gocce lipidiche negli interstizi.
fig.17
L’emangioblastoma è considerato un tumore benigno, a crescita espansiva sebbene possa focalmente infiltrare i tessuti circostanti.
Esso può recidivare, soprattutto se la asportazione è stata, per necessità topografica, incompleta.
Questa neoplasia, ben conosciuta sul piano descrittivo è considerata un enigma su quello istogenetico poiché la natura delle cellule stromali, considerate la quota neoplastica, è tutt’ora incerta.
L’ipotesi maggiormente accreditata è quella secondo la quale le cellule dei vasi e quelle stromali derivino da un unico stipite cellulare di tipo mesenchimale indifferenziato.