MENINGIOMA ANGIOMATOSO
Luigi Cuccurullo
Il meningioma angiomatoso è caratterizzato dalla presenza dominante di strutture vascolari. Queste sono rappresentate da capillari e da vasi di piccolo calibro con una distribuzione estesa all’intera neoplasia. All’esame macroscopico, questo tumore ha un aspetto spongioso, mostra un colore rossastro ed è delimitato da una capsula fibrosa.
All’esame istopatologico, si apprezza la esistenza di una doppia componente strettamente e diffusamente commista; questa è data da una quota e da un’altra di tipo cellulare.
Quest’ultima è formata da travate e filiere di cellule meningoteliali ben differenziate, isomorfe, isometriche, normocromatiniche e raramente in mitosi.
La componente vascolare è rappresentata da vasi di piccolo diametro e soprattutto da capillari beanti o in corso di cavitazione del lume.
fig.1
fig.2
fig.3 
La microarchitettura della componente vascolare è semplificata; infatti essa è costituita soltanto dal rivestimento endoteliale, dalla membrana basale, da cellule pericitarie e da connettivo fibrillare perivascolare; frequentemente si nota che singoli vasi sono avvolti a manicotto da cercini di cellule meningoteliali.
fig.4
fig.5 
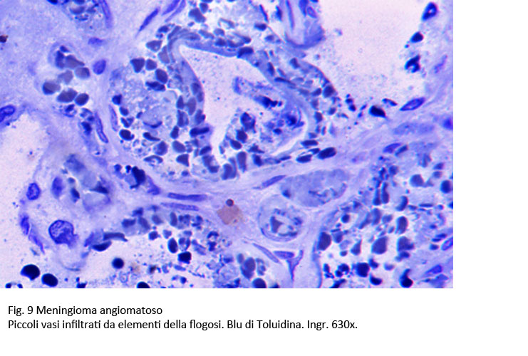
Spesso i vasi subiscono processi regressivi di vario tipo, questi sono rappresentati da fenomeni di lipidosi a carico dei periciti, o sono dovuti a ispessimenti ialinotici della membrana basale, oppure da processi flogistici o ancora da necrobiosi delle componenti dei capillari.
fig. 6
fig.7
fig.8 
fig.9
fig. 10 
Lo studio istopatologico di questa componente vascolare deve essere integrato da indagini di immunoistochimica mediante le quali è possibile svelare la esistenza di strutture vasali in nuce e non altrimenti valutabili.
A tale scopo si eseguono prove di immunoespressività delle cellule endoteliali mediante la positività del fattore VIII e dell’antigene CD34; si mettono in evidenza gli sviluppi delle membrane basali vascolari mediante la immunoespressività per la laminina nonché la presenza di cellule pericitarie di tipo mio-epiteliale mediante la determinazione dell’actina.
fig.11
fig.12
fig.13 
fig.14
fig.15
fig.16 
Un ulteriore contributo è ottenuto mediante indagini ultrastrutturali; mediante la microscopia elettronica si analizza la composizione delle pareti dei capillari, la coesione e la diastasi intercellulare, lo stato di continuità del rivestimento endoteliale, il livello di differenziazione degli endoteli e non ultimo i caratteri di raggiunta specificità delle cellule meningoteliali.
fig.17
fig.18
fig.19 
fig.20
fig. 21
fig.22 
fig.23
fig.24
fig.25